Elevate your local knowledge
Sign up for the iNFOnews newsletter today!

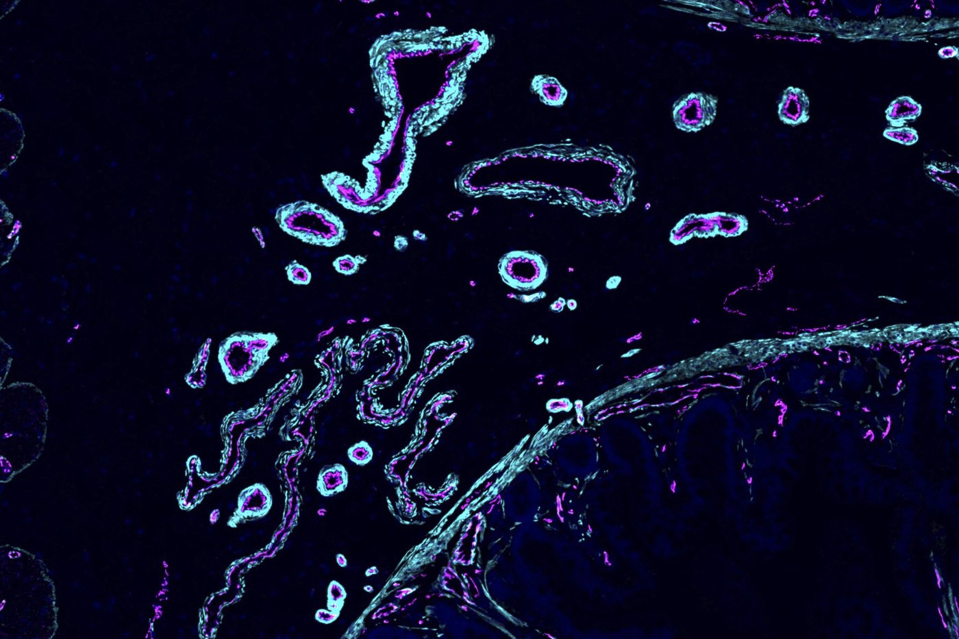
Researchers have created an early map of some of the human body’s estimated 37.2 trillion cells.
Each type of cell has a unique role, and knowing what all the cells do can help scientists better understand health and diseases such as cancer.
Scientists focused on certain organs — plotting the jobs of cells in the mouth, stomach and intestines, as well as cells that guide how bones and joints develop. They also explored which cells group into tissues, where they’re located in the body and how they change over time.
They hope the high-resolution, open-access atlas — considered a first draft — will help researchers fight diseases that damage or corrupt human cells.
“When things go wrong, they go wrong with our cells first and foremost,” said Aviv Regev, co-chair of the Human Cell Atlas consortium who was involved with the research.

The findings were published Wednesday in Nature and related journals.
The group plans to release a more complete atlas in 2026, profiling cells across 18 organs and body systems. That includes the skin, heart, breasts and more.
The current cell map not only charts the many types of human cells, but it also shows the relationships of cells to each other, said Dr. Timothy Chan, a cancer expert at the Cleveland Clinic.
Chan said it’s a deep dive into human biology that’s sure to have practical impact such as identifying and treating cancer cells.
“Different types of cells have different Achilles’ heels,” said Chan, who was not involved in the studies. “This is going to be a boon” for cancer research.
Scientists are also creating other atlases that could help them learn more about the underpinnings of health and disease in specific parts of the body.
With brain atlases, they’re seeking to understand the structure, location and function of the many types of brain cells. A new gut microbiome atlas looks at the collection of microorganisms in the intestines, which plays a key role in digestion and immune system health.
___
The Associated Press Health and Science Department receives support from the Howard Hughes Medical Institute’s Science and Educational Media Group. The AP is solely responsible for all content.
Want to share your thoughts, add context, or connect with others in your community?
You must be logged in to post a comment.