Elevate your local knowledge

Sign up for the iNFOnews newsletter today!

Select Region

Selecting your primary region ensures you get the stories that matter to you first.

Abused Kamloops cat recovering; donations sought for vet bill

KAMLOOPS – A stray cat is well on his way to recovery despite the horrible abuse he suffered in Kamloops.

Skitter B was found by covered in blood and his own urine and was brought to the Kamloops branch of the B.C. SPCA by a Good Samaritan, according to a media release.

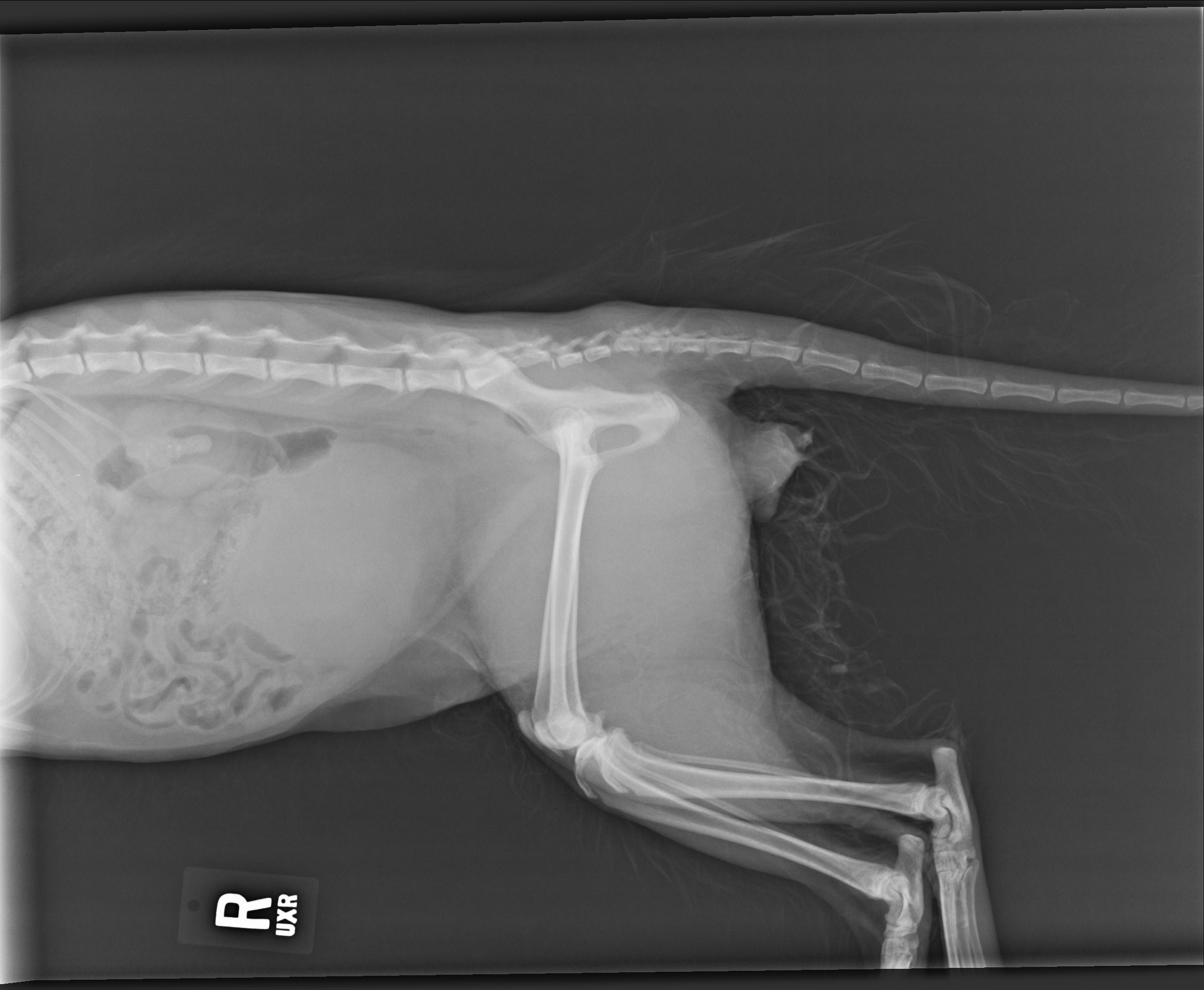
The cat’s spine was fractured in two places and couldn’t lift his tail or urinate on his own. He may have been kicked from behind or kicked while being dangled by his tail, the SPCA says.

Skitter B, who has a catheter and is being treated with antibiotics, will be in the vet hospital for up to four weeks. Despite his severe injuries his prognosis is good.

Animal care attendant Valerie Wilson says the handsome medium hair black cat remains friendly and trusting.

“All you need to do is talk to him and he will purr and chirp at you while rolling over and showing you his belly. This is all despite his painful injuries and everything he’s been through,” Wilson says in the release.

While the Aberdeen Veterinary Hospital has donated supplies and medical care for the cat, the B.C. SPCA is looking for donations to help pay for Skitter B’s $1,200 vet bill.

You can drop off a donation at the Kamloops branch of the B.C. SPCA at 1211 8 St. or by phone at 250-376-7722.

Abused Kamloops cat recovering; donations sought for vet bill | iNFOnews.ca
An X-ray taken of Skitter B shows his spine fractured in two places., Skitter B, pictured in this contributed photo. Credit: Contributed

To contact the reporter for this story, email Howard Alexander at halexander@infonews.ca. To contact the editor, email mjones@infonews.ca or call 250-718-2724.

News from © iNFOnews.ca, . All rights reserved.
This material may not be published, broadcast, rewritten or redistributed.

Join the Conversation!

Want to share your thoughts, add context, or connect with others in your community?

Howard Alexander

Assistant Editor Howard Alexander comes to iNFOnews.ca from the broadcasting side of the media business.

Howard has been a reporter, news anchor, talk show host and news director, first in Saskatchewan and then the Okanagan.

He moved his family to Vernon in the 90s and is proud to call the Okanagan home.

If you have an event to share contact Howard at 250-309-5343or email halexander@infonews.ca.